هناك حالات كثيرة يلاحظ فيها أهل الطفل أن لديه حول بينما الطبيب يقرر أن الطفل طبيعي وهذا الحول الكاذب له أسباب كثيرة منها ضيق المسافة بين العينين أو أتساع المسافة بين العينين، أحياناً وجود ثنية جلدية تغطي الزاوية الداخلية وتغطي جزءاً من الصلبة من الناحية الأنفية وهذا النوع من الحول ليس حقيقيا، والذي يقرر هذا هو الطبيب وحده ولا يستلزم علاجاً .
الحول
الحقيقي :-
|
![]() |
![]() |
أيضاً هذا النوع من الحول قد تظهر به أعراض جديدة غالباً بعد انقضاء السنة الأولى مثل أنواع من الحول الرأسي وزيادة عمل العضلة المائلة السفلية . وظهور هذه الأعراض الجديدة غير مرتبط باصلاح الحول الخلقي أو عدمه
إصلاح الحول الخلقي ينصح بان يكون مبكراً ولا ينتظر حتى بلوغ سن معين والإصلاح يؤدي إلى إصلاح عيوب النظر وإصلاح الشكل .
وهو الحول الذي يظهر فيما بعد ، أي بعد الستة أشهر الأولى من ولادة الطفل ومعظم هذه الأنواع يظهر فيما بين السنة الأولى والثالثة ويكون مرتبطاً بعيوب انكسار العين وخاصة طول النظر ويلاحظ في هذا النوع من الحول أن الزاوية تزداد عند النظر للأشياء القريبة وهذا النوع من الحول يمكن أن يكون متبادلا بين العينين أو يكون ثابتاً في عين واحدة .
علاج الحول المتسبب عن طول النظر يعتمد أساساً على إصلاح طول النظر عن طريق لبس النظارة الطبية المناسبة ويمكن أن يحتاج إلى وسائل علاج إضافية
![]() |
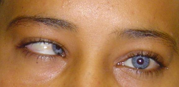
وهو الحول الذي تتجه فيه إحدى العينين أو بالتبادل إلى الداخل، أي ناحية الأنف، ويندرج هذا ضمن حالات الحول الخلقي الإنسي، والحول المرتبط بطول النظر، وغيرها..
· الحول الوحشي:

وهو الحول الذي تتجه فيه إحدى العينين أو بالتبادل إلى ناحية الخارج، أي إلى ناحية الأذن، وهذا النوع من الحول غالباً ما يبدأ في الظهور في بعض الأوقات فقط، ويسمى الحول الوحشي المتقطع
![]() |
![]() |
وتزداد فترة ظهوره في العين مع مرور الوقت وهذا النوع يحتاج إلى المتابعة بواسطة الطبيب ليقرر التوقيت اللازم للتدخل والإصلاح.
· الحول الرأسي:
![]() |
وهو الحول الذي تتجه فيه إحدى العينين إلى أعلى أو إلى أسفل بالنسبة للعين الأخرى، ويشمل عدة أسباب بعضها أسباب خلقية، وبعضها أسباب شللية مثل:
- زيادة عمل العضلة المائلة السفلية المصاحب لكثير من حالات الحول الخل.
- شلل
العضلات الرافعة للعين
- شلل العضلة المائلة العلويه
- بعض حالات الحول
الخلقية النادرة مثل متلازمة ديوان
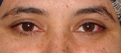
في هذه الحالة يوجد حول حقيقي، ولكنه غير ظاهر، بسبب بذل العينين جهداً عصبياً وعضلياً لتجنب ظهوره والمحافظة على توازي العينين من أجل الحفاظ على النظر الموحد، وأعراضه هي مظاهر إجهاد العين مثل الاحمرار والصداع، ويظهر هذا الحول في حالات إجهاد العينين أو الضعف العام أو بواسطة اختبارات يجريها طبيب العيون.
وعلاج الحول الكامن غالباً ما يكون نظارة طبية ونادراً ما يكون جراحياً.
· يتسبب عدم توازي العينين في أن يرى المريض صورتين لنفس الشيء، إحداهما واضحة (الواقعة على مركز إبصار العين السليمة) والأخرى مشوشة (الواقعة على نقطة بالشبكية خارج مركز إبصار العين الحولاء) وهو ما يسمى بالازدواج
![]() |
![]() |
| الرؤيه الطبيعيه | الإزدواج |
![]() التشوش |
عين الطفل التي لا زالت في مراحل النمو لها القدرة على التكيف بوسائل عديدة في سبيل التخلص من هذه المشاكل، وذلك عن طريق حدوث بعض المضاعفات:
1- إحباط الصورة القادمة من العين الحولاء، وذلك ما يحدث في الحول التبادلي، حيث تنظر عين وتحبط الأخرى بالتبادل، وبهذه الطريقة يتخلص من الازدواج ومن التشوش.
2- كسل العين الحولاء، وهذا يعتبر من المشاكل الكبرى في الحول ومعناه أن العين لا ترى كما ينبغي برغم لبس النظارة الطبية وبرغم أن قاع العين سليم، ولكن يحدث هذا الكسل عندها يكون الحول في عين واحدة، فيحدث إحباط مستمر لهذه العين لتجنب الازدواج والتشوش، وينشأ الكسل بسبب الإحباط المستمر. (وهناك أسباب كثيرة لكسل العين تذكر في مجال آخر).
3- نشأة توافق شبكى غير طبيعى و مركز إبصار جديد للعين الحولاء وهذا أيضاً يعتبر من مضاعفات الحول، حيث إن بؤرة الإبصار لا تكون سوية إلى بمركز الإبصار الطبيعي.
الهدف من العلاج ليس فقط لإصلاح الشكل والتجميل، فهذا الهدف البسيط يمكن تحقيقه في أي سن ومهما طالت المدة بين ظهور الحول وبداية علاجه، لكن الهدف الأساسى والهام هو استعادة النظر السليم في العين الحولاء وعلاج الكسل بها، وكذلك استعادة النظر الموحد بالعينين.
وهذا لن يتحقق إلا بعد تقارب قوة الإبصار بالعينين، معنى هذا أنه بمجرد ملاحظة الحول يتعين على أهل الطفل استشارة طبيب العيون وبداية العلاج . الإسراع في العلاج والالتزام بتعليمات الطبيب يزيد من فرص النجاح.
ويتلخص علاج الحول في النقاط الآتية:
· فحص قاع العين بعد استعمال القطرات الباسطة للعضلة الهدبية، وذلك للتأكد أولاً من خلو العين من أمراض داخلية يكون الحول أحد مظاهرها، وقياس قوة انكسار العين بدقة ووصف النظارة الطبية المناسبة، وينصح بلبسها طوال الوقت.
· قياس قوة الإبصار بالنظارة الطبية ، وإذا وجد كسل بإحدى العينين فلابد من علاجه عن طريق تغطية العين السليمة من أجل استعمال العين الحولاء الكسلانة والذي يحدد مقدار التغطية ومدى استمرارها هو الطبيب المعالج .
![]() |
· تدريب العينين على النظر الموحد بواسطة أجهزة خاصة .
· العلاج الجراحي : قد يلزم إذا ما وجد أنه لا تزال هناك زاوية حول برغم استعمال النظارة الطبية الملائمة – في هذه الحالة تجرى عملية جراحية بالإضافة إلى النظارة الطبية .
· إذا كانت النظارة الطبية تصلح زاوية الحول تماماً فليس هناك لزوم للجراحة في هذه الحالة
|
· إذا كانت النظارة الطبية تصلح زاوية الحول وتبقي هاك زاوية موجودة بالرغم من لبس النظارة فهنا يلزم إجراء عملية جراحية إلى جانب لبس النظارة .
· إذا كان الحول غير مرتبط بالنظارة الطبية ، أي أن ليس هناك نظارة تصلحه ففي هذه الحالة يلزم إصلاح الحول بعملية جراحية .
يراعي قبل إجراء عمليات الحول قياس زاوية الحول بدقة حتى يمكن عمل الإصلاح اللازم بدقة تعتمد جراحات إصلاح الحول على :-
· إضعاف بعض العضلات المحركة للعين ، مثل إضعاف العضلة المستقيمة الداخلية في حالات الحول الأنسى عن طريق إرجاعها للخلف بمسافة معينة حسب زاوية الحول المقاسه ومثل إضعاف العضلة المستقيمة الخارجية في حالات الحول الوحشي عن طريق إرجاعها للخلف.
· تقوية بعض العضلات المحركة للعين مثل استئصال حزء من العضلة لتقصيرها أو ثنى العضلة وتستخدم للعضلات المراد تقويتها مثل تقوية العضلة المستقيمة الخارجية في بعض حالات الحول الأنسي .
· تغيير مسار بعض العضلات مثل تغيير مسار العضلة المائلة السفلية في بعض عمليات إصلاح الحول الرأسي.
![]() |
![]() |
| حول وحشى قبل الجراحه و بعد
الجراحه |
![]() |
| حول انسي قبل الجراحه و بعد
الجراحه |
![]() ![]() |
| حول رأسي قبل الجراحه و بعد
الجراحه |
|
|
![]() |
| حول رأسي وأفقي قبل الجراحه و بعد الجراحه |
|
|
الموقع المصري للحول وامراض الجهاز الحركي للعين
The Egyptian Site of Strabismus & Oculomotor Disorders